專注科研 醉心學術 勤于實踐
繆耀強 主任醫師/教授/學科帶頭人
- 德倫口腔集團正畸技術總監
- WFO(世界正畸聯盟協會)會員
- 中華口腔醫學會正畸專業委員會委員(1-4屆)
- 廣東省口腔醫學會正畸專業委員會副主任委員
- 廣東省醫學會事故技術鑒定專家庫專家
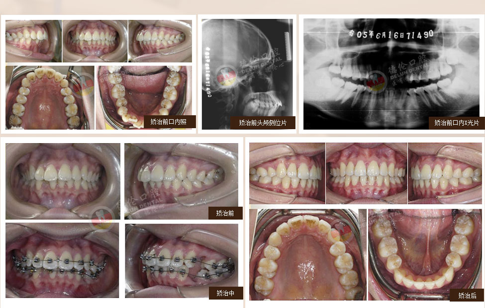
簡介:從事口腔臨床工作已有33年,多次赴美國、法國、臺灣、香港、日本等地參加國際正畸研討會,原廣東省口腔醫院正畸科主任。不僅掌握先進醫療技術,具有解決疑難重癥的能力,且多次主持開展新技術新業務:例如自鎖托槽矯治在國內第一批臨床應用就是由他率先開展的。作為第一作者,在國內外專業雜志發表論文30余篇,且被全球口腔正畸學界著名雜志J.Clin.Orthod發表,主編《SPEED矯治技術》。
擅長技術:SPEDD自鎖矯治、下頜磨牙水平阻生矯治、功能性矯治、固定矯治各種錯牙合畸形。
“繆”院長攜帶“妙”技術
兩大創新技術突破矯牙難題 奠定國際口腔正畸學術權威
中國口腔正畸SPEED自鎖矯治技術引路人
——編著《SPEED矯治技術》
繆耀強是第一個將SPEED技術引入國內并對其著書宣傳的醫生,填補了當時國內沒有自鎖矯治技術的空白;SPEED矯治器是國際上應用非常成熟的一種自鎖托槽,不僅高效、安全,沒有結扎絲,整個矯治過程相對舒適,同時托槽調節方便,大大降低復診和治療時間。
針對人群:牙齒不齊、牙齒擁擠、齙牙、地包天等各種
錯牙合畸形。
“《SPEED矯治技術》是我國第一本有關SPEED矯治器的專著,該
書是我國口腔正畸醫師在使用方絲弓、直絲弓矯治器的基礎上,
學習掌握SPEED矯治技術的一本十分有益的參考書。”——曾祥龍
教授(《中華口腔正畸學雜志》常務副主編,北京大學醫學教授、
博士生導師)
德倫口腔SPEED自鎖矯治技術三大特色
唯一技術授權機構,內容請勿盜用
全球權威口腔正畸學術雜志推崇技術
——下頜磨牙水平阻生矯治技術
過去第一磨牙很早齲壞或缺失的患者只能拔除齲牙進行缺牙修復,若同時第三磨牙因阻生反復引起牙齒發炎疼痛,那么還要面臨拔除智齒恐懼??娫洪L通過多年臨床研究最終發明一種通過豎立智齒來代替齲壞或缺失的第一磨牙的方法,該技術刊登在2006全球權威口腔正畸學術雜志上,也稱為:“繆”院長的“妙技術”。
針對人群:下頜第一磨牙齲壞或缺失且下頜第三磨牙阻生。
備注:第一磨牙即六齡齒,人長出的第一顆恒牙。第三磨牙即智慧齒,最晚長出的恒牙。
德倫口腔下頜磨牙水平阻生矯治技術三大特點
唯一技術授權機構,內容請勿盜用