口腔連鎖領跑品牌 掌握種植核心技術

全國連鎖:
當前位置:口腔正畸中心>牙錯位>

牙齒錯位有什么危害

發表于:2017-05-26 18:22:14 來源:順德德倫口腔 編輯:德倫口腔 閱讀:0

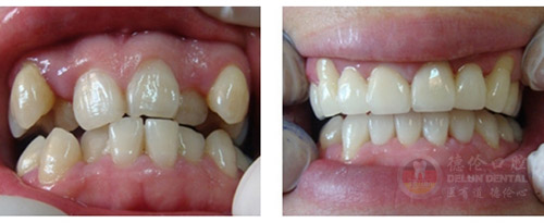
  牙齒錯位,會給我們的生活平添許多煩惱。很多患者因為錯位的牙齒遭到過嘲笑,從此有了自卑的心理。人都有一顆追求美的心。牙齒錯位是可以通過矯正來解決。牙齒錯位也是必須矯正的。因為它不只是影響我們的容貌,還給我們的健康帶來放心隱患。牙齒錯位有什么危害?


  德倫專家指出:

  1. 牙齒錯位會使咀嚼過于費勁,長時間的話還會導致牙疼。降低了牙齒的咀嚼功能,間接增加了消化系統的負擔。

  2. 牙齒錯位會出現重疊或者擁擠的現象。形成了清潔盲區,不利保持口腔健康。容易出現蛀牙。

  3. 牙齒錯位不單是影響牙齒,牙頜骨的生長發育出現畸形,也會影響到臉型的發育。

  溫馨提示:牙齒矯正越早進行,效果越好。但這不意味著牙齒矯正有年齡限制。只有您有一顆愛美的心,都是可以通過牙齒矯正獲得美麗牙齒的。

  如果您是一位上班族想要矯正牙齒,那么德倫隱形正畸技術一定可以幫到您。美觀舒適,不會影響您的形象。摘帶方便,不影響您的日常生活交際??梢栽诓恢挥X的情況下完成矯正。

  德倫口腔一直堅持"醫有道,德倫心"的品牌理念,不僅以行醫者之大道為己任,憑借國際高端設備、引進知名醫生坐診,高質量的服務理念,使牙科治療服務真正進入個性化、定制化和迅速反應的新紀元。
隱形牙套多少錢 牙齒矯正多少錢 種植牙多少錢一顆 烤瓷牙多少錢一顆 順德植牙多少錢
種牙好還是鑲牙好 牙齦腫痛怎么辦 點擊更多牙齒案例 牙齒美白方法 牙套多少錢
    溫馨提示PROMPT

    德倫口腔打造中國口腔領導品牌,溫馨提醒您口腔問題不容忽視。點擊在線咨詢即可獲得一對一的咨詢服務,德倫口腔牙科專家將對您提出的問題作出專業回答并保護您的隱私!

    選擇德倫的八大理由

品牌項目
數字化美學矯正

數字化美學矯正

全隱形牙齒矯正

全隱形牙齒矯正

高配版數字化舒適種牙

高配版數字化舒適種牙

ALL-ON-4全口種牙

ALL-ON-4全口種牙

7天仿生美牙修復

牙齒美容修復

健康永久美白

健康長久美白

牙周病綜合治療

牙周病綜合治療

微創根管治療

微創根管治療

專家推薦
熱點問答
?為什么做完烤瓷牙以后會發黑
?乳牙萌出順序你知道嗎
?哪些牙齒適合做冷光美白
?小孩做牙齒矯正需要多少錢
?復發性口腔潰瘍如何治療
?做牙齒美白對牙齒有危害嗎
?種植牙修復有沒有年齡限制
精彩活動
最新動態
?牙齒深覆合不進行矯正會有什么...
?小孩長虎牙,需要做牙齒矯正嗎...
?牙齒錯位會有哪些危害?
?大良自鎖托槽牙齒矯正多少錢?
?牙齒咬合錯位該怎么矯正?
?順德哪里有牙齒矯正
?牙齒錯位怎么辦?
坐車路線
  • 出發:
  • 到達: